三木市をはじめ、小野市、加西市、加東市、西脇市、多可郡、神戸市西区、播磨(稲美町)の皆さまのきれいな歯並び・噛み合わせとすてきな笑顔をサポートする矯正治療,歯列矯正の専門医院です。
診療時間
[月火金土] 10:00-12:00 / 14:00-19:00
[日] 10:00-12:00 / 14:00-17:00
ご予約・お問合せはこちらへ
0794-89-8303
Orthodontic treatment cases


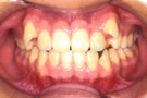
治療前



治療後

かみ合わせの高さ(咬合高径)を維持するため、あえて小臼歯も知歯も抜歯していません。
①主訴 前歯の前突 ②診断名 上顎前突 ③年齢 18歳 ④使用装置 エッジワイズ装置 ⑤抜歯部位 なし ⑥治療期間 約2年 ⑦治療費概算 90万円


治療前



治療後

小臼歯は抜歯せずに、知歯を抜歯して治療しました。
①主訴 八重歯 ②診断名 叢生 ③年齢 17歳 ④使用装置 エッジワイズ装置 ⑤抜歯部位 下あご左右知歯 ⑥治療期間 約1年半 ⑦治療費概算 90万円


治療前



治療後

小臼歯は抜歯せずに、知歯を抜歯して治療しました。
①主訴 前歯の前突 ②診断名 上顎前突 ③年齢 25歳 ④使用装置 エッジワイズ装置 ⑤抜歯部位 下あご左右知歯 ⑥治療期間 約2年 ⑦治療費概算 90万円
| 月 | 火 | 水 | 木 | 金 | 土 | 日 | |
|---|---|---|---|---|---|---|---|
| 午前 | ○ | ○ | × | × | ○ | ○ | ○ |
| 午後 | ○ | ○ | × | × | ○ | ○ | △ |
午前 10:00~12:00
午後 14:00~19:00
△:日曜日は17:00まで
水曜、木曜、土日を除く祝日
お気軽にご連絡ください。
0794-89-8303