三木市をはじめ、小野市、加西市、加東市、西脇市、多可郡、神戸市西区、播磨(稲美町)の皆さまのきれいな歯並び・噛み合わせとすてきな笑顔をサポートする矯正治療,歯列矯正の専門医院です。
診療時間
[月火金土] 10:00-12:00 / 14:00-19:00
[日] 10:00-12:00 / 14:00-17:00
ご予約・お問合せはこちらへ
0794-89-8303
あごの大きさにしても形にしても、歯の大きさにしても、持って生まれたもの(遺伝)であれば、歯並びは親子で似てきます。残念ながら上顎前突も遺伝であれば予防は難しいです。
一方、上顎前突の後天的な(生まれてからの)原因としてよく見かけるものに「指しゃぶり(吸指癖)」があげられます。
指しゃぶりは、お母さんのお腹の中でも胎児が指を吸っていることがエコーの映像でわかっています。乳児は生きるための本能か、なにかを口で吸うという感触を最初に見つけて楽しむそうです。「口唇期」と言います。指しゃぶりもこの一つです。
発達の過程ですから、この時期に指しゃぶりをやめさせるのは良くありません。諸説ありますが口唇期はおおむね2歳頃までと言われています。
3歳児健診の時に、指しゃぶりの影響がすでに歯列に現れている子がいます。下に示した「指しゃぶりの3つの影響(開咬・上顎前突・上あごの狭窄と高口蓋)」、3つともそろっている猛者もいれば、指を吸っていても影響のない子もいます。指しゃぶりの回数と長さが違うのだと思います。
私は、4,5歳頃にやめられたらと思います。ただ指しゃぶりの激しい場合には、かみ合わせや歯列への影響は永久歯列にまで残ります。
指しゃぶりが長引く場合は、「なぜ指を吸うのか?」、本人を取り巻く周囲からのストレスを考えてあげてください。何か原因があるのだと思います。指に苦い薬を塗ったり、きつく言い聞かせて無理矢理やめさせても、本人にとっては原因の解決になりません。
私が経験した指しゃぶりの最高年齢は高3男子です。次は中1男子。二人ともお父さんが厳しい方だったのを覚えています。
では、小学生はとても多いか?というとそうでもありません。たいてい小学生ぐらいで自然にやめます。恥ずかしいし、ストレスを発散するすべを覚えるからだと思います。
指しゃぶりほどではありませんが、おしゃぶりも開咬の原因になります。なぜ、子供におしゃぶりを与えるのか?一度、考えてみてください。

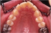
開咬
指しゃぶりを続けていると、上下の前歯の間に指の通る隙間ができ咬み合わなくなります。縦方向にも前後方向にもできます(垂直的開咬と水平的開咬)。写真は垂直的開咬です。

上顎前突
指の力により、上あごの前歯が前方に傾斜します。また、指をくわえる時に下あごを後ろに引きくため、上あごと下あごのかみ合わせがずれて、上顎前突になります。また水平的開咬になります。

上あごの狭窄と高口蓋
指を吸う力により、上あごの歯列が狭くなり(狭窄)、歯列の形がV字型に変形します。このため、上あごの内側(口蓋)のくぼみが深くなります。高口蓋(こうこうがい)といいます。

下あごの偏位
上あご歯列の狭窄により、上あごと下あごの歯列の幅が合わなくなると、左右どちらかに下あごを偏位させてかむようになります。左の写真は下あごを右(本人の右側)に偏位させて咬んでいます。
左上に載せた開咬の写真では、上あごと下あごの歯列の幅に差がないことがわかります。さらに上あご歯列が狭窄すると、下あごを左右どちらかに偏位させてかまざるを得なくなるのです。
| 月 | 火 | 水 | 木 | 金 | 土 | 日 | |
|---|---|---|---|---|---|---|---|
| 午前 | ○ | ○ | × | × | ○ | ○ | ○ |
| 午後 | ○ | ○ | × | × | ○ | ○ | △ |
午前 10:00~12:00
午後 14:00~19:00
△:日曜日は17:00まで
水曜、木曜、土日を除く祝日
お気軽にご連絡ください。
0794-89-8303